12 Startups Diagnosing Medical Images With AI
Table of contents
Most people don’t take much interest in healthcare topics until they’re actually affected by an affliction, at which point in time they become an expert based on lots of Google searches. Your health is something you shouldn’t take for granted because at any time you can be diagnosed with a disease that will change your life for the worse (that is until Ms. Deming gets us all sorted out). Some of the techniques we use to diagnose healthcare problems are blood tests, stool samples, biopsies, and of course medical imaging.
Probably everyone has had an x-ray at some time in their life, so we’re all familiar with what those are, however, the $30 billion “diagnostic imaging market” is much larger than just x-rays. There are MRIs, ultrasounds, and CT scans to name just some of the more popular imaging techniques. It’s just a matter of time before all medical imaging is enhanced by artificial intelligence (AI) algorithms, and there are more than 40 startups working on this already:

In a recent article we looked at how IBM may be looking to dominate radiology, and prior to that we also looked at 9 Artificial Intelligence Startups in Medical Imaging. Now, let’s take a look at 12 more medical imaging startups that are looking to secure a share of the $36 billion medical imaging market.
VoxelCloud
Founded in 2015, Los Angeles-based startup VoxelCloud has taken in $13.5 million in funding so far to automate medical image analysis and provide diagnosis assistance through the use of AI algorithms that live in the cloud. Sequoia Capital led their most recent round, a Series A for $8 million that closed in May of this year. We spoke with VoxelCloud about their data sources, over 100 top hospitals and institutes in the US and China which give them exclusive access to over 16 million patients cases. (Remember how we talked about how important data is?) Instead of specializing in one particular area, they want to be generalists across multiple areas like these:

Looks like some heavy focus on the Chinese market as they have submitted CFDA applications for 5 products including retina screening, coronary CT analysis, lung cancer screening, three of which are expected to get approval by the end of this year.
HealthMyne
Founded in 2013, Wisconsin-based startup HealthMyne has taken in $11 million in funding so far to develop a solution called “Quantitative Imaging Decision Support” or QIDS. “In every field of medicine, whenever qualitative data is replaced with quantitative data, advances have been made” says the Chairman of the Board, and it’s hard to think of any industry that statement wouldn’t apply to. Apparently there is a new term being used these days which is Clinical Decision Support System or (CDSS) which is another way of saying that AI is going to start analyzing things behind the scenes to provide support for doctors. HealthMyne sees QIDS as the radiology piece for CDSS. We’re starting to get bogged down with too many acronyms so let’s move on.
Update 09/05/2017 – HealthMyne reached out to us to say ” While we plan on using some AI technology to improve our segmentation algorithm, we do not use AI to identify lesions or to provide CDS. HealthMyne QIDS relies on the radiologist to identify the abnormalities and then our algorithms quantify the underlying imaging data so it can then be utilized to provide advanced CDS (CDS 2.0) to the radiologist and downstream referring clinicians.” Rather than remove their company from this list, we commend them for their honesty and transparency regarding their actual use of AI. Far too many companies out there are trying to label themselves as “using AI” when they are not.
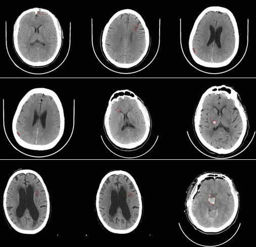
Viz
Founded in 2016, San Francisco-based startup Viz has taken in $9.55 million in funding so far from investors that include Yahoo! founder Jerry Yang to aid physicians in identifying anomalies in brain scans using machine learning. It looks like artificial intelligence is already being used to find problems with the primary source of all human intelligence, and the main use case here is the early identification of strokes. According to the American Stroke Association, strokes are the fourth leading cause of death in the U.S. and one of the reasons they are so deadly is because they are so difficult to diagnose. Check out how subtle some of the signs are:

There aren’t that many highly skilled neurologists around when you do need to make a quick diagnosis so AI is stepping in to address this gap. As we mentioned before, an AI algorithm can also digest an entire electronic health record in seconds while a neurologist wouldn’t have the time to. And as Viz tells us, “when the brain is injured, every second matters”.
Update 04/09/2022: Viz.ai has raised $100 million in Series D funding to continue expanding into other conditions. This brings the company’s total funding to $251.6 million to date.
VIDA Diagnostics
Founded in 2004, Iowa-based startup VIDA Diagnostics has taken in $7.9 million in funding to become “the leader in precision pulmonary informatics” with a focus on COPD, lung cancer, and asthma. VIDA offers “clinical trial services”, and has been cited in over 200 peer reviewed journal papers for performing numerous “highly reliable and repeatable” imaging tasks. This “image analysis as a service” is called “VIDA | precision” with the results being communicated via “VIDA | vision”:

That software you see above is available in two workflows; lung bronchoscopy planning and lung volume reduction planning. People called “pulmonologists” get paid a quarter of a million dollars a year to work on this type of lung stuff and these tools make them more effective.
Update 03/13/2020: VIDA Diagnostics has raised $11 million in Series C funding to address market deficits in the early assessment, monitoring, and treatment of lung disease by accelerating the commercialization of its leading LungPrint® solution suite. This brings the company’s total funding to $20.4 million to date.
Lunit
Founded in 2013, Seoul-based startup Lunit has taken in $5.46 million in funding so far from investors that include Softbank (TYO:9984) to develop a “data-driven imaging biomarker” (DIB) technology that helps physicians analyze and interpret medical imaging data. Listed as one of the top 100 AI startups to watch by CB Insights, Lunit was also recognized as one of the top-5 startups for social impact by NVIDIA (NASDAQ:NVDA). They are primarily targeting breast and lung cancer for which 20% of cases are currently missed using screening tests. Here’s an example of what the technology does:

According to an article by Venturebeat, “general practitioners see an improvement in correct diagnoses, going from 80 percent to 83 percent, using Lunit’s technology“.
Image Analysis

Founded in 2007, London-based startup Image Analysis has taken in $5.2 million in funding so far to aid clinical and pre-clinical studies by using a cloud-based platform to enhance the efficiency in managing trial progress and data logistics of inflammatory arthritis and cancers. For imaging-based clinical studies, this tool can save up to 80% of the reader’s time by standardizing image analysis. Here’s an example of AI spotting a breast cancer tumor in the same manner as a human would:

They recently received FDA 510(k) clearance for their cloud-based software, DYNAMIKA, which is seen above.
QView Medical
Founded in 2006, Los Altos-based startup QView Medical has taken in $4.76 million in funding so far to develop a computer-aided detection system capable of ultrasound image analysis to detect breast cancer, claiming a 33% reading time improvement. Since this is the third breast cancer detection startup, we thought it would be appropriate to show why early breast cancer detection is so important:

If we can automate the screening process using machine learning, then more women are likely to get tested. Maybe all the pink ribbon people running around asking for money should focus instead on just promoting advanced technology like this.
Blackford Analysis
Founded in 2010, Edinburgh-based startup Blackford Analysis has taken in $3.8 million in funding so far to offer software aimed at saving clinician time and increasing capacity by accelerating comparison of medical images. As you imagine, there are many use cases for comparing medical images. You may take a scan of a patient on day zero and then another on day 60 and want to look for differences between the two images to see how the disease has progressed. Using software from Blackford Analysis, you can enjoy a time savings of 10-20% for each comparison made. In 2013 they began integrating their software into commercial image viewers.
ClearView Diagnostics
Founded in 2012, New Jersey-based startup ClearView Diagnostics has taken in $3 million in funding so far to provide a quick and inexpensive solution for radiologists to target and identify breast cancer by utilizing their AI software. One problem is that because we’re all human, the variance in diagnosis results between radiologists differ a lot with many erring on the side of caution (note doubt because they’re worried someone will sue the isht out of them). That’s where the CAD system comes in, and according to an academic paper published in December of 2016, it outperforms radiologists at all operating points. The savings here come in the form of unnecessary biopsies that cost somewhere between $1-3 billion a year not to mention getting the poor patients all worked up nothing.
icometrix
Founded in 2011, Belgian startup icometrix has taken in $2.17 million in funding so far to develop a piece of software called MSmetrix which detects brain lesions, calculates lesion volume, and measures the entire volume of a brain. It’s already incorporated in clinical trials and large research trials with a focus on Multiple Sclerosis (thus the name MSmetrix), namely used for measuring brain atrophy and brain lesion load as seen below:

What causes MS is not clear, but it’s a nasty disease with no known cure. If your job involves looking at MRI scans for multiple sclerosis patients, then this tool is for you.
DiACardio
Founded in 2009, Israeli startup DiACardio has taken in $2 million in funding so far to develop image processing software that automates the evaluation of echocardiographic images ( Echocardiography uses ultrasound to create images of the heart). Their flagship product, LVIVO, can be integrated into any Healthcare IT system and allows the user to quickly evaluate echo clips while providing fully automated qualitative and quantitative values of heart analysis like the below:

You can save up to 30% of the time it takes to evaluate these images using just humans.
MedyMatch Technology
Founded in 2013, another Israeli startup called MedyMatch Technology has taken in $2 million in funding so far to enhance medical imaging through their advanced cognitive analytics platform. In March of this year, they announced a collaboration with IBM (NYSE:IBM). The Watson Health Imaging Group plans to distribute the MedyMatch brain bleed detection application globally through its vendor-neutral sales channels. MedyMatch has also partnered with Samsung (KRX:005930) to deploy their software in Samsung’s NeuroLogica mobile imaging technology:

According to the company, studies have shown that “30% of all medical imaging diagnoses are incorrect and 80% of those errors are perceptual errors that are present but go unnoticed by the human eye”.
Update 08/17/2018 – MedyMatch has had a name change to MaxQ and filed for an IPO. You can read more about this in our article titled An AI Medical Imaging IPO from MaxQ.
There are more than 40 startups diagnosing medical images with AI and we’ve only covered 21 of them. If your exciting venture is not in the list of 21 AI-powered medical imaging startups we’ve talked about so far, don’t panic. Given how fast these things are popping up, it will only be a matter of months before we do another article like this and we’ll be sure to include your startup then. And stay tuned for a pure-play AI medical imaging stock we found which we’ll talk about next week.

Hi.. I’m a doctor in Nuclear Medicine, from India. Just wanted to add a point about CARING, a research initiative by Mahajan Imaging, based on New Delhi.
Please drop us an email at info@nanalyze.com if you have a funded AI medical imaging startup we ought to look at for future articles.
Hello, I also want to add Vector Medix by COSTANSIN – https://www.costansin.com/costansin-launches-vector-medix-ai-to-diagnose-medical-images/